Dental X-ray
X-rays are one of the basic elements of the correct diagnosis of the condition of the dentition before starting specialized treatments and determining their type. The purpose of the radiological examination is, among others, to diagnose caries, tooth buds, the presence of foreign bodies or to establish an orthodontic treatment plan.
We take dental pictures:
• panoramic / panoramic / panorama
• cephalometric
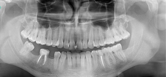
X-ray panoramic image (Panoramic / Panorama)
Used by dentists to define an endodontic, implantological, surgical and orthodontic treatment plan. Often referred to as a “tooth panorama” or as a panoramic image. Pantomographic dental x-ray enables early detection of pathological changes in the bones of the maxilla and mandible, as well as in the temporomandibular joints and maxillary sinuses.

Cephalometric X-ray image
Performed in particular to define an orthodontic treatment plan. Cephalometric X-ray enables a very accurate diagnosis of orthodontic defects, allows for a precise assessment of facial growth and planning the appropriate correction of malocclusion, and at the same time the correct positioning of the teeth. This type of photos shows the soft tissues of the face and bone structures.

The device in the Ortorad Clinic X-ray room meets Polish and European standards in the field of radiation dose reduction. The examination lasts several dozen seconds, thanks to which the patient receives the minimum dose of radiation.
Tooth X-ray - Contraindications
It should be remembered that dental x-ray cannot be performed during pregnancy – despite the fact that these are extremely small doses of radiation and are almost completely safe for the patient, it is a period of life in which we should not deliver x-rays under any circumstances degree.
Modern 3D tooth scanner
Dear Patients, in our clinic, we use a special 3 Shape Trios 3 scanner to get a picture of your dentition. Thanks to this, we have a 3D tooth arrangement without the traditional method, i.e. impressions, which for many patients causes an unpleasant feeling.
In addition, it allows the patient to see all the teeth during the consultation visit, which makes it easier to understand the treatment plan, as well as allowing for the initial visualization of the teeth after the end of treatment. It is a quick and effective method when planning orthodontic treatment with the Invisalign Łódź system.
Scanning the teeth also reduces the patient’s contact with additional materials, which increases the safety of the treatments.
Ponadto umożliwia on dokładne obejrzenie przez pacjenta wszystkich zębów podczas wizyty konsultacyjnej, co ułatwia zrozumienie planu leczenia, jak również pozwala na wykonanie wstępnej wizualizacji zębów po zakończeniu leczenia. Jest to szybka i skuteczna metoda przy planowaniu leczenia ortodontycznego systemem Invisalign Łódź.
Skanowanie zebów ogranicza też kontakt pacjenta z dodatkowymi materiałami przez co zwiększa się bezpieczeństwo zabiegów.