W jakich przypadkach usuwa się ósemki (zęby mądrości)?
Istnieje kilka powodów usunięcia ósemek (podobnie z innymi zębami). Do najczęstszych należą: tzw. ósemka zablokowana lub zatrzymana czyli ząb, którego najczęściej nie widać gołym okiem, ale kąt jego usytuowania powoduje, że może stłaczać lub wręcz uszkadzać zęby siódme. Ból związany z wyrzynaniem, a czasem diagnostyka RTG najczęściej sprowadza pacjenta do chirurga stomatologicznego.
Bardzo częstym powodem jest zbyt mała szczęka górna lub dolna. W takich
przypadkach na konsultację chirurgiczną kieruje ortodonta, którego zadaniem
będzie w późniejszej fazie leczenia wyeliminowanie stłoczeń.

Innym z częstych powodów może być zbyt głęboka próchnica zębów. Jak wiemy ósemki są zębami z najtrudniejszym dostępem w jamie ustnej pacjenta w trakcie szczotkowania zębów. Wywołuje to znacznie szybciej postępującą próchnicę do etapu, kiedy ich leczenie jest nieskuteczne. Ze względu na bardzo rzadką decyzję o leczeniu kanałowym zębów ósmych, najczęściej pacjent kierowany jest na ekstrakcję(usuniecie) tych kłopotliwych zębów. Czasem jednak również w przypadku innych zębów leczenie kanałowe jest niemożliwe i wtedy też konieczna jest ekstrakcja.
Jak wygląda ekstrakcja ósemki (innego zęba) krok po kroku?
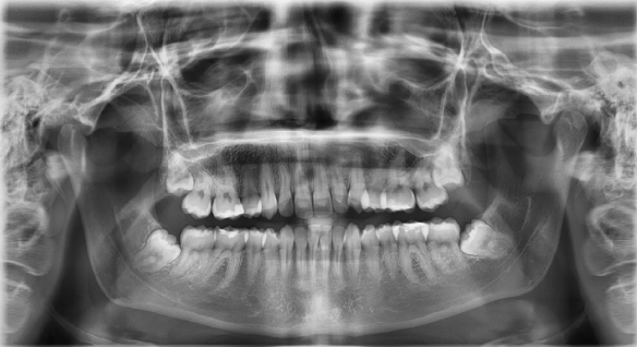
Zabieg usunięcia zawsze poprzedzony jest diagnostyką i oceną na podstawie zdjęcia rtg panoramicznego, które można wykonać w naszej klinice. Po dokonanej ocenie, chirurg znieczula miejscowo okolice ósemki. Jeśli ósemka jest widoczna gołym okiem, zabieg najczęściej jest prosty i niewiele różni się od zwykłej ekstrakcji. Jeśli jednak ząb jest ukryty zabieg jest bardziej skomplikowany, najczęściej też dłużej trwa. Po dokonanej ekstrakcji dentysta oczyszcza i zaszywa zębodół. W wielu przypadkach po ekstrakcji zęba zatrzymanego zalecane jest również podanie pacjentowi leku przeciwbólowych.
Wskazania po zabiegu usunięcia zęba
Po zabiegu należy trzymać się kilku prostych zasad. Należy zaciskać jałowy gazik przynajmniej przez 30 min zaraz po zabiegu. Przez co najmniej 2 godziny nic nie jeść ani nie pić, a do końca dnia nie przepłukiwać niczym jamy ustnej. Bardzo ważnym jest, aby przez co najmniej 48 godzin po zabiegu nie spożywać alkoholu oraz wyrobów tytoniowych. Bezwzględne przestrzeganie powyższych zasad w znacznym stopniu minimalizuje możliwość wystąpienia powikłań.
Aby zminimalizować następstwa zabiegu należy:
- Stosować zimne okłady
- Unikać wysiłku fizycznego
- W przypadku silnego bólu przyjąć środek przeciwbólowy
- Gryźć pokarmy po przeciwnej stronie jamy ustnej
 
				